
Dental Bridges
London
Replace missing teeth with a fixed, permanent dental bridge — no dentures, no gaps. Traditional, Maryland and implant-supported options available, all crafted from 100% metal-free ceramics. Available at our South Kensington and City of London clinics.
Bridge (per unit)
From £995
Maryland Bridge
From £1,030
Restorative Dentistry
What Is a Dental Bridge?
A dental bridge is a fixed, permanent restoration that replaces one or more missing teeth. It literally "bridges" the gap left by a missing tooth, using the teeth on either side — or dental implants — as anchors. The false tooth (or teeth) in the middle is called a pontic, and the supporting teeth are called abutments.
Unlike a denture, a bridge is cemented permanently in place — there is nothing to remove, no clasps and no adhesive. A well-made bridge feels, looks and functions just like your natural teeth. You eat, speak and smile normally from the day it is fitted.
At Dental Clinic London, we offer four types of dental bridge: traditional, cantilever, Maryland (resin-bonded) and implant-supported. All are crafted from 100% metal-free dental ceramics, individually shade-matched to your natural teeth. Bridges start from £995 per unit, with a typical 3-unit bridge (replacing 1 missing tooth) from £2,985.
Common Situations
When You Might Need a Bridge
A bridge is one of the most effective ways to replace missing teeth. Here are the most common situations where your dentist may recommend one.
One Missing Tooth
A traditional 3-unit bridge or a Maryland bridge can replace a single missing tooth quickly and effectively, restoring your smile and preventing neighbouring teeth from drifting.
Two or More Adjacent Missing Teeth
A longer bridge or an implant-supported bridge can replace multiple adjacent missing teeth in one restoration, avoiding the need for individual implants or a removable denture.
Replacing a Removable Denture
Many patients with partial dentures want a fixed solution. A bridge is permanently cemented in place — there is nothing to take out, no clasps and no movement during eating or speaking.
After Tooth Extraction
Once an extracted tooth has healed, a bridge fills the gap permanently. Early replacement prevents adjacent teeth from tilting into the space and the opposing tooth from over-erupting.
When Implants Are Not Suitable
Some patients are not candidates for dental implants due to insufficient bone, medical conditions or personal preference. A tooth-supported bridge provides an excellent fixed alternative.
Cosmetic Improvement
A bridge can replace a missing front tooth and transform your appearance dramatically. Modern ceramic bridges are individually shade-matched and virtually indistinguishable from natural teeth.
Your Options
Bridge Types Compared
We offer four types of dental bridge — each suited to different clinical situations. Your dentist will recommend the best option based on the position and number of missing teeth, the health of your remaining teeth and your goals.
Most Common
Traditional Fixed Bridge
A traditional bridge is the most widely used type of dental bridge. It consists of one or more false teeth (pontics) held in place by dental crowns cemented onto the natural teeth either side of the gap — these supporting teeth are called abutments. The entire bridge is made from a single piece of dental ceramic (zirconia or porcelain) for maximum strength and a seamless appearance. Traditional bridges are extremely durable and feel just like natural teeth.
Advantages
- Most proven and reliable bridge type
- Extremely strong and durable (15–25+ years)
- Feels and functions like natural teeth
- Fixed permanently — no removal needed
- Excellent aesthetics with modern ceramics
- Restores full chewing function immediately
Considerations
- Requires preparation of adjacent teeth
- Abutment teeth must be healthy and strong
- Cannot be used if adjacent teeth are missing
- Slightly more tooth structure removed than a Maryland bridge
Best For
Most missing tooth situations where healthy, strong teeth exist on both sides of the gap
Bridge Size
3+ units (minimum: 2 crowns + 1 pontic)
One-Sided Support
Cantilever Bridge
A cantilever bridge is similar to a traditional bridge but is supported by a crown on only one side of the gap rather than both. This is used when there is only one natural tooth adjacent to the missing tooth — for example, at the back of the mouth. Cantilever bridges are less common than traditional bridges and are generally recommended only for areas that do not bear heavy chewing forces.
Advantages
- Only one adjacent tooth needs preparation
- Useful when only one abutment tooth is available
- Good for front teeth or low-stress areas
- Fewer teeth involved than a traditional bridge
Considerations
- Less stable than a traditional bridge
- Not recommended for heavy biting areas (molars)
- Higher risk of the abutment tooth being overloaded
- Limited to specific clinical situations
Best For
Front teeth or premolars where only one healthy adjacent tooth is available for support
Bridge Size
2 units (1 crown + 1 pontic)
Most Conservative
Maryland Bridge (Resin Bonded)
A Maryland bridge — also called a resin-bonded bridge or adhesive bridge — uses thin metal or ceramic wings that are bonded to the back of the adjacent teeth rather than full crowns. This means little or no tooth preparation is required, making it the most conservative fixed bridge option. Maryland bridges are most commonly used for front teeth where biting forces are lower. They are an excellent choice for younger patients or anyone wanting to preserve maximum natural tooth structure.
Advantages
- Minimal or no tooth preparation required
- Most conservative bridge option
- Preserves natural tooth structure
- Excellent for front teeth
- Reversible in some cases
- Lower cost than traditional bridges
Considerations
- Not suitable for back teeth (molars/premolars)
- Less strong than traditional bridges
- Wings can debond over time and need re-cementing
- Limited to replacing one tooth in most cases
Best For
Single missing front tooth, younger patients, patients wanting maximum tooth preservation
Bridge Size
1 pontic + 1–2 bonded wings
No Natural Teeth Prepared
Implant-Supported Bridge
An implant-supported bridge is held in place by dental implants rather than natural teeth. Typically, two implants are placed into the jawbone and a bridge of 3 or more teeth is attached to them. This is the ideal solution when multiple adjacent teeth are missing, when the remaining natural teeth are not strong enough to support a traditional bridge, or when you want to avoid preparing healthy teeth. Implant bridges also prevent bone loss in the jaw — something that conventional bridges cannot do.
Advantages
- No natural teeth need to be prepared or crowned
- Prevents jawbone loss in the gap area
- Strongest and most long-lasting option
- Feels and functions exactly like natural teeth
- Can replace 3 or more missing teeth
- Independent of surrounding natural teeth
Considerations
- Requires implant surgery (minor procedure)
- Longer treatment time (3–6 months total)
- Higher initial cost
- Requires sufficient jawbone (bone graft may be needed)
- Not suitable for all patients (medical assessment required)
Best For
Multiple adjacent missing teeth, insufficient natural teeth for a traditional bridge, patients wanting to preserve healthy teeth, long-term solution
Bridge Size
2 implants + 3+ unit bridge
Understanding Your Options
Bridge vs Implant vs Denture
There are three main ways to replace a missing tooth. Here is how they compare.
| Feature | Bridge | Implant | Denture |
|---|---|---|---|
| Fixed or Removable? | Fixed (permanent) | Fixed (permanent) | Removable |
| Adjacent Teeth Affected? | Yes — crowned | No — independent | Clasps may rest on teeth |
| Bone Preservation | No | Yes — stimulates bone | No — bone loss over time |
| Treatment Time | 2–3 weeks | 3–6 months | 2–4 weeks |
| Lifespan | 15–25 years | 20–30+ years | 5–10 years |
| Starting Price (1 tooth) | From £2,985 (3-unit) | From £2,950 | From £795 (partial) |
| Comfort | Excellent — like natural teeth | Excellent — like natural teeth | Good — may move slightly |
| Surgery Required? | No | Yes (minor) | No |
Costs are a guide and depend on clinical complexity. Your dentist will always discuss all options with you and explain the pros and cons before recommending treatment.
Benefits
Why Choose a Dental Bridge?
A dental bridge is one of the most reliable, time-tested ways to replace missing teeth permanently.
Fixed & Permanent
A dental bridge is cemented in place permanently — there is nothing to take out. It feels, looks and functions like your natural teeth. You eat, speak and smile with complete confidence.
Natural Appearance
Modern all-ceramic bridges are individually shade-matched and crafted to replicate the translucency, colour and shape of your natural teeth. A well-made bridge is virtually undetectable.
Prevent Teeth Shifting
When a tooth is missing, the surrounding teeth can tilt, drift and shift out of alignment. A bridge fills the gap and keeps your remaining teeth in their correct positions.
Restore Full Chewing Function
A missing tooth makes chewing harder and forces other teeth to take on extra load. A bridge restores even bite distribution and allows you to eat all foods comfortably.
100% Metal-Free
All our bridges are made from advanced dental ceramics — no metal substructures, no dark lines at the gum margin, no allergic reactions. Modern, biocompatible materials only.
Quick Treatment (2 Appointments)
A tooth-supported bridge is completed in just 2 appointments over 1–2 weeks. You leave the first appointment with a temporary bridge, so you are never without teeth.
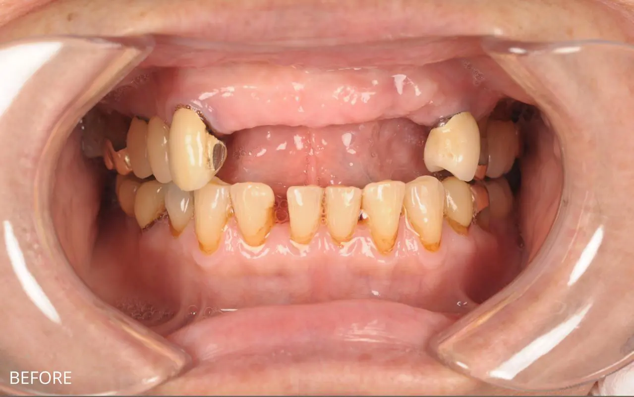
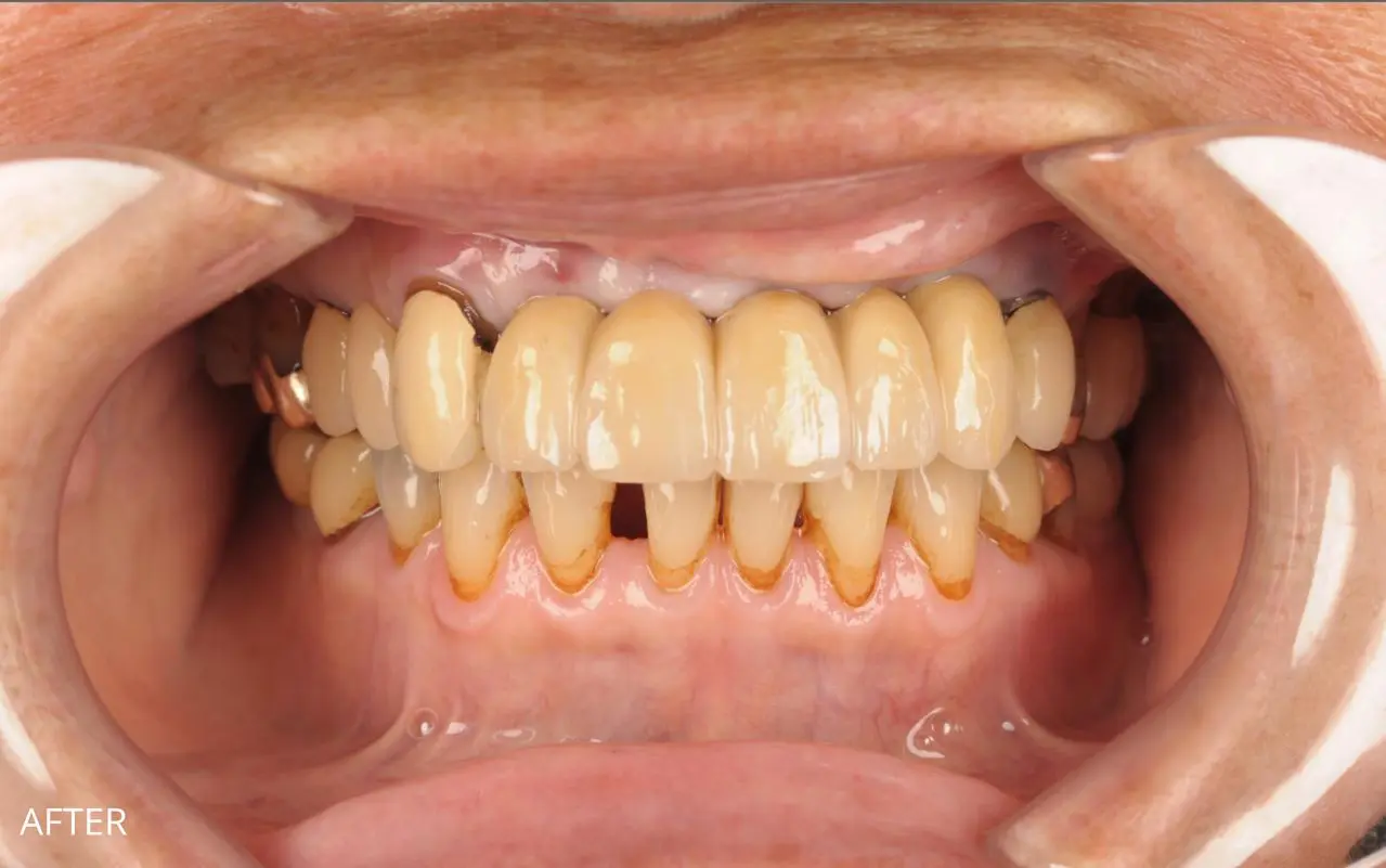
Real Patient Results
Bridge Before & After
Real results from our patients. Every case is unique — your dentist will discuss what results you can expect based on your specific situation.


Implant-Supported Bridge — Front Teeth
Multiple missing front teeth replaced with an implant-supported bridge, restoring both function and a seamless, natural-looking aesthetic.
Treated by Dr. Kamran Yazdi


Missing Teeth Restored with Dental Implants
Missing teeth replaced with natural-looking dental implant restorations — permanent, fixed and indistinguishable from natural teeth.
Treated by Dr. Kamran Yazdi


Full Smile Rejuvenation — Crowns & Bridge Work
Old crowns and bridgework placed over 20 years ago replaced with new porcelain restorations for a softer, more natural and balanced smile.
Treated by Dr. Yasha Shirazi
These are real patient results from Dental Clinic London. Individual results may vary. Before-and-after images are shown with patient consent and are not a guarantee of outcome. A detailed consultation is required to determine suitability.
Your Bridge Journey
How a Bridge Is Placed
From consultation to final fitting — here is what happens at each stage.
Consultation & Assessment
Your dentist examines the gap, takes X-rays and assesses the surrounding teeth and jawbone. All bridge options — traditional, cantilever, Maryland and implant-supported — are discussed, along with alternatives such as implants or dentures. A free 15-minute short consultation is available for initial enquiries. A new patient examination (£30) provides a full clinical assessment and personalised treatment plan with confirmed costs.
Treatment Planning & Shade Selection
Your dentist recommends the most appropriate bridge type based on the position of the gap, the health of the adjacent teeth, your biting forces and your aesthetic goals. A shade guide is used to select the exact colour that matches your surrounding teeth. For implant-supported bridges, a CT scan may be required to plan implant placement.
Tooth Preparation (Traditional / Cantilever)
For traditional and cantilever bridges, the abutment teeth are carefully shaped under local anaesthetic — typically 1.5–2 mm of tooth structure is removed to make space for the supporting crowns. For Maryland bridges, only minimal enamel roughening is needed. For implant-supported bridges, implants are surgically placed into the jawbone at this stage.
Impressions & Temporary Bridge
Detailed digital or physical impressions of your prepared teeth (or implant positions) are sent to our specialist dental laboratory. A temporary bridge is fitted to protect your teeth and fill the gap while the permanent bridge is being hand-crafted — this typically takes 1–2 weeks for tooth-supported bridges, or 3–6 months for implant-supported bridges (to allow the implants to integrate with the bone).
Bridge Fitting
Your permanent bridge is tried in for fit, colour and bite. Every contact point and margin is checked to ensure the bridge sits perfectly on the supporting teeth or implants. Once you and your dentist are completely happy, the bridge is permanently cemented or screwed into place.
Polish, Bite Check & Aftercare
The bridge is polished to a natural finish, your bite is carefully checked and any final adjustments are made. Your dentist provides detailed aftercare instructions including how to clean underneath the bridge using floss threaders or interdental brushes. With good oral hygiene and regular check-ups, your bridge will last for many years.
See Our Clinic
What to Expect at Your Visit
Patient Success Story
Full Mouth Rehabilitation in London
Full Mouth Rehabilitation in London
Dental Clinic London · Transform Your Smile
Two Convenient Locations
Dental Bridges Near You
South Kensington
Now Open20 Old Brompton Road, South Kensington, London SW7 3DL
Mon & Wed: 9 am – 6 pm
Tue & Thu: 9 am – 8 pm
Fri: 9 am – 5 pm
Sat & Sun: 10 am – 4 pm
1 min from South Kensington tube (District, Circle & Piccadilly)
City of London
Opening May 20265 Ave Maria Lane, City of London, London EC4M 7AQ
Mon – Fri: 8 am – 8 pm
Sat & Sun: Closed
3 min from St Paul's tube (Central line) · 5 min from Blackfriars
Transparent Pricing
Bridge Prices
Clear, upfront pricing with no hidden fees. Bridges are priced per unit — each crown and each pontic (false tooth) is one unit. Your dentist will always provide a written treatment plan with exact costs before any work begins.
| Treatment | Price |
|---|---|
| New Patient ConsultationFull examination, X-rays & treatment plan | £30 |
| Free Short Consultation (15 min)Quick chat about bridge options — no obligation | FREE |
| Bridge (per unit)Each unit = 1 crown or 1 pontic (false tooth) | From £995 |
| 3-Unit Bridge (1 missing tooth)2 supporting crowns + 1 pontic | From £2,985 |
| 4-Unit Bridge (2 missing teeth)2 supporting crowns + 2 pontics | From £3,980 |
| Maryland Bridge (Resin Bonded)Conservative option — minimal tooth preparation | From £1,030 |
| Implant-Supported Bridge2 implants + bridge — no natural teeth prepared | From £5,900 |
| X-Ray (Periapical)Focused image of individual teeth | £20 |
| OPG Full-Mouth X-RayPanoramic view of all teeth and jaw | £80 |
Prices are a guide and may vary depending on the number of units and clinical complexity. 0% finance available on selected treatments, subject to status. A detailed treatment plan with confirmed costs is provided before any treatment begins.
Long-Lasting Results
Caring for Your Bridge
Good aftercare is essential to maximise the lifespan of your dental bridge and keep the supporting teeth healthy.
Clean Under the Bridge Daily
Use a floss threader, superfloss or interdental brush to clean underneath the pontic (false tooth) and along the gum line every day. This removes plaque and food debris that a normal toothbrush cannot reach.
Brush Twice Daily
Brush all surfaces of the bridge and surrounding teeth with a soft-bristled or electric toothbrush and fluoride toothpaste. Pay particular attention to the margins where the crowns meet the natural tooth.
Avoid Very Hard Foods
Dental bridges are extremely strong, but avoid biting directly on very hard objects such as ice, hard sweets, bones or using your teeth as tools. This advice applies to natural teeth as well.
Wear a Night Guard if You Grind
Teeth grinding (bruxism) can place excessive force on bridges and their supporting teeth. If you clench or grind, a custom night guard protects your bridge while you sleep.
Attend Regular Check-ups
Visit your dentist every 6 months for routine check-ups and professional hygiene. Your dentist will check the bridge for any wear, ensure the margins are sealed and monitor the health of the supporting teeth.
Do Not Ignore Looseness
If the bridge feels loose, your bite feels different, or you experience sensitivity, contact your dentist promptly. A loose bridge can allow bacteria to enter and cause decay in the abutment teeth.
Common Questions
Dental Bridge FAQ
Experienced Dentists
Your Dental Team
All our dentists are GDC registered and experienced in restorative dentistry, including all types of dental bridges. They will explain every option clearly and ensure you are comfortable throughout.

Dr. Yasha Y Shirazi
Principal Dentist & Clinical Director
GDC: 195843

Dr. Reza Davari
Dentist
GDC: 302422

Dr. Kamran Yazdi
Dentist
GDC: 197926

Dr. Andreia Phipps
Dentist
GDC: 229601
Patient Reviews
What Our Patients Say
Explore More
Related Treatments
Registered · Regulated · Trusted
Your Safety Is Our Priority
Our South Kensington clinic is regulated by the Care Quality Commission (CQC) and all our clinicians are registered with the General Dental Council (GDC).
CQC Regulated
South Kensington clinic
GDC Registered
All clinicians
CQC Provider: Medical and Dental Limited · Registration No. 1-20629579981
Missing a Tooth? Let's Fix That
Book a new patient consultation for just £30 — or a free 15-minute short consultation for initial enquiries. Your dentist will assess the gap, explain all your options and provide a detailed treatment plan with confirmed costs.


