
Composite Bonding
London
Fix chips, gaps, uneven teeth and discolouration — most cases completed in a single visit, with no drilling and no anaesthetic in most cases. Hand-sculpted by your cosmetic dentist for a natural, seamless result. Available at our South Kensington and City of London clinics.
Composite Bonding
From £395
Typically completed in
One Visit*
*Most cases are completed in a single appointment. More complex cases or larger numbers of teeth may require additional visits, based on clinical assessment at your consultation.
Same-Day Cosmetic Treatment
What Is Composite Bonding?
Composite bonding (also called dental bonding or tooth bonding) is a cosmetic dental treatment where tooth-coloured composite resin is applied directly onto the tooth by your dentist, sculpted by hand and polished to a natural finish. It can repair chips, close gaps, reshape uneven teeth, cover discolouration and improve symmetry — all in a single appointment.
Unlike veneers or crowns, composite bonding usually requires no drilling, no anaesthetic and no tooth preparation. The composite is bonded directly to your natural enamel, preserving your tooth structure. This makes it one of the most conservative, affordable and reversible cosmetic treatments available.
At Dental Clinic London, composite bonding costs from £395 per tooth. Each treatment is hand-sculpted by an experienced cosmetic dentist for a natural, seamless result. We have 10 real before-and-after cases from our own patients to show you what is possible.
Real Patient Results
10 Composite Bonding Before & After Cases
Real results from our composite bonding patients — every case treated at Dental Clinic London by our GDC-registered dentists.


Emergency Chipped Tooth Repair
A chipped upper front tooth repaired with composite bonding in a single emergency appointment — natural colour and shape fully restored.
Treated by Dr. Reza Davari


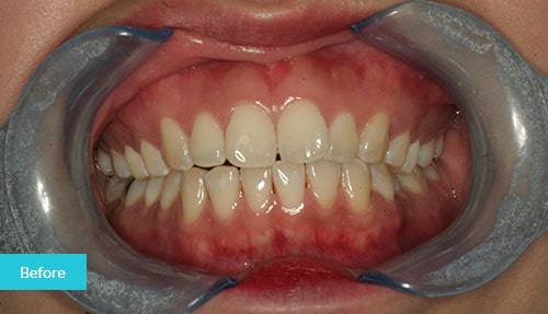
Discoloured & Chipped Front Teeth
Upper central incisors were noticeably discoloured with small chips. Composite bonding restored colour harmony and a smooth, natural finish.
Treated by Dr. Yasha Shirazi


Gap Tooth Bonding
Gaps between front teeth closed with composite bonding for a seamless, natural result — completed in a single visit.
Treated by Dr. Kamran Yazdi


Edge Bonding — Minimal Refinement
Subtle edge bonding to refine an already beautiful smile — minimally invasive, no drilling or anaesthetic required.
Treated by Dr. Andreia Phipps
These are real patient results from Dental Clinic London. Individual results may vary. Before-and-after images are shown with patient consent and are not a guarantee of outcome. A detailed consultation is required to determine suitability.
Why Bonding?
The Advantages of Composite Bonding
Same-Day Results
Walk in with chips, gaps or uneven teeth — walk out with a natural-looking smile, hand-sculpted by your dentist. Most cases are completed in a single appointment (typically 30–60 minutes per tooth); larger cases may benefit from a refinement visit, confirmed at your consultation.
From £395 Per Tooth
Composite bonding is one of the most affordable cosmetic treatments available. Repair a single chipped tooth from just £395 or transform multiple teeth at a fraction of the cost of porcelain.
No Drilling, No Anaesthetic
In most cases, composite bonding requires no tooth preparation at all. No drilling, no injections, no discomfort. The composite is applied directly to the natural enamel — your tooth stays intact.
Easily Repaired
If composite bonding chips or wears over time, it can be quickly and affordably repaired chair-side. No need to replace the entire restoration — fresh composite is simply added.
Completely Reversible
Because little or no tooth structure is removed, composite bonding can be removed in the future if you decide to upgrade to veneers or simply return to your natural teeth.
Natural-Looking Results
Hand-sculpted by your cosmetic dentist, composite bonding produces beautiful, natural-looking results. The resin is shade-matched to blend seamlessly with your existing teeth.
Versatile Results
What Can Composite Bonding Fix?
Chipped or Cracked Teeth
Rebuild chips and minor fractures instantly. The composite is sculpted to match the original shape — the repair is invisible.
Gaps Between Teeth
Close gaps (diastemas) without orthodontics. Composite is added to either side for a symmetrical, natural result — no braces needed.
Worn or Uneven Edges
Rebuild worn incisal edges and smooth uneven tips to create a balanced, youthful smile line.
Discoloured Teeth
Cover staining that does not respond to whitening — including white spots, intrinsic marks and uneven colour.
Minor Misalignment
Create the appearance of straighter teeth without braces. Composite is strategically shaped to improve alignment visually.
Small or Peg-Shaped Teeth
Build up undersized lateral incisors to proportionate dimensions that balance your smile.
Making the Right Choice
Composite Bonding vs Veneers
Not sure which is right for you? Here is a quick comparison.
| Feature | Bonding | Composite Veneer | Porcelain Veneer |
|---|---|---|---|
| Best For | Chips, gaps, edges | Full reshaping & colour | Maximum longevity |
| Appointments | 1 (same day) | 1 (same day) | 2 (1–2 weeks) |
| Lifespan | 5–10 years | 5–10 years | 15–25 years |
| Tooth Preparation | None | Minimal or none | 0.3–0.5 mm |
| Repairability | Easy — chair-side | Easy — chair-side | Usually replaced |
| Reversible | Yes | Usually | No |
| Stain Resistance | Moderate | Moderate | Excellent |
| Cost Per Tooth | From £395 | From £595 | From £1,095 |
Your dentist will recommend the best option based on your goals, budget and clinical situation at your consultation.
Your Journey
How Composite Bonding Works
From consultation to walking out smiling — everything in a single visit.
Free Short Consultation (15 min)
A complimentary 15-minute appointment with a cosmetic dentist. Discuss your goals, ask questions and find out exactly what composite bonding can achieve. No cost, no obligation. If you decide to proceed, a new patient examination (£30) provides a full clinical assessment and treatment plan with confirmed costs.
Shade Selection
Your dentist selects the ideal composite shade using a professional shade guide, matching your natural teeth precisely — or a brighter shade if you have whitened beforehand. The goal is a seamless, invisible repair or enhancement.
Tooth Preparation (Minimal or None)
In most cases, no preparation is needed — no drilling, no anaesthetic. The tooth surface is lightly etched with a conditioning gel to help the composite bond securely. This is painless and preserves your natural enamel.
Layering & Sculpting
Your dentist applies tooth-coloured composite resin in thin layers directly onto the tooth. Each layer is sculpted by hand to build the ideal shape, contour and translucency, then hardened with a UV curing light. This is the artistic part — your dentist hand-crafts your new smile.
Shaping & Polishing
Once the composite is built up, fine instruments are used to refine the shape, smooth the edges and create natural-looking surface texture. The bite is checked and adjusted. Finally, the bonding is polished to a high sheen that mimics the lustre of natural enamel.
Walk Out Smiling
For most cases, you leave with your new smile the same day — no temporaries and no laboratory wait. Larger or more complex cases may benefit from a follow-up refinement appointment, confirmed at your consultation.
See Our Clinic
What to Expect at Your Visit
Two Convenient Locations
Composite Bonding Near You
South Kensington
Now Open20 Old Brompton Road, South Kensington, London SW7 3DL
Mon & Wed: 9 am – 6 pm
Tue & Thu: 9 am – 8 pm
Fri: 9 am – 5 pm
Sat & Sun: 10 am – 4 pm
1 min from South Kensington tube (District, Circle & Piccadilly)
City of London
Opening May 20265 Ave Maria Lane, City of London, London EC4M 7AQ
Mon – Fri: 8 am – 8 pm
Sat & Sun: Closed
3 min from St Paul's tube (Central line) · 5 min from Blackfriars
Transparent Pricing
Composite Bonding Prices
Clear, upfront pricing with no hidden fees. A written treatment plan with exact costs is always provided before any work begins.
| Treatment | Price |
|---|---|
| Free Short Cosmetic Consultation (15 min)Quick chat with a cosmetic dentist about composite bonding | FREE |
| Composite Bonding (per tooth)Single-tooth repair or enhancement — completed same day | From £395 |
| 2 Teeth Composite BondingSymmetrical improvement to two front teeth | From £790 |
| 4 Teeth Composite BondingTransform your four front teeth in one visit | From £1,580 |
| 6 Teeth Composite BondingFull smile zone — completed in a single appointment | From £2,370 |
| Composite Veneer (per tooth)Full-coverage veneer sculpted directly onto the tooth | From £595 |
| Teeth Whitening (Home Kit)Was £399 — Limited Offer. Ideal before bonding | £199 |
| X-Ray (Periapical)Focused image of individual teeth | £20 |
Prices are a guide and may vary depending on the number of teeth and clinical complexity. 0% finance available on selected treatments, subject to status. A detailed treatment plan with confirmed costs is provided before any treatment begins.
Maintaining Your Results
Caring for Composite Bonding
Brush Twice Daily
Use a soft-bristled or electric toothbrush with non-abrasive toothpaste. Brush gently around the bonded area to keep the margins clean and free of plaque.
Floss Daily
Floss around bonded teeth to prevent plaque build-up and decay at the margins. Interdental brushes work well for wider gaps.
Avoid Hard Biting
Do not bite ice, pen caps, fingernails or hard sweets directly on bonded teeth. Composite is strong but can chip under excessive force — the same is true of natural teeth.
Limit Staining Foods & Drinks
Tea, coffee, red wine and smoking can stain composite over time. Rinsing with water after consuming these helps. Professional polishing restores the lustre.
Regular Polishing
At your 6-monthly hygiene appointment, your hygienist can polish your bonding to refresh its sheen and smooth any micro-roughness that attracts staining.
Night Guard if You Grind
Teeth grinding (bruxism) wears bonding faster. A custom night guard protects your bonding while you sleep — ask your dentist at your consultation.
Common Questions
Composite Bonding FAQ
Experienced Cosmetic Dentists
Your Dental Team
All composite bonding at Dental Clinic London is performed by GDC-registered cosmetic dentists with extensive experience in bonding and smile design.

Dr. Yasha Y Shirazi
Principal Dentist & Clinical Director
GDC: 195843

Dr. Reza Davari
Dentist
GDC: 302422

Dr. Kamran Yazdi
Dentist
GDC: 197926

Dr. Andreia Phipps
Dentist
GDC: 229601
Patient Reviews
What Our Patients Say
Explore More
Related Treatments
Registered · Regulated · Trusted
Your Safety Is Our Priority
Our South Kensington clinic is regulated by the Care Quality Commission (CQC) and all our clinicians are registered with the General Dental Council (GDC).
CQC Regulated
South Kensington clinic
GDC Registered
All clinicians
CQC Provider: Medical and Dental Limited · Registration No. 1-20629579981
Transform Your Smile Today
Book a free 15-minute short consultation to find out how composite bonding can improve your smile. Same-day results, no drilling, from just £395 per tooth.


