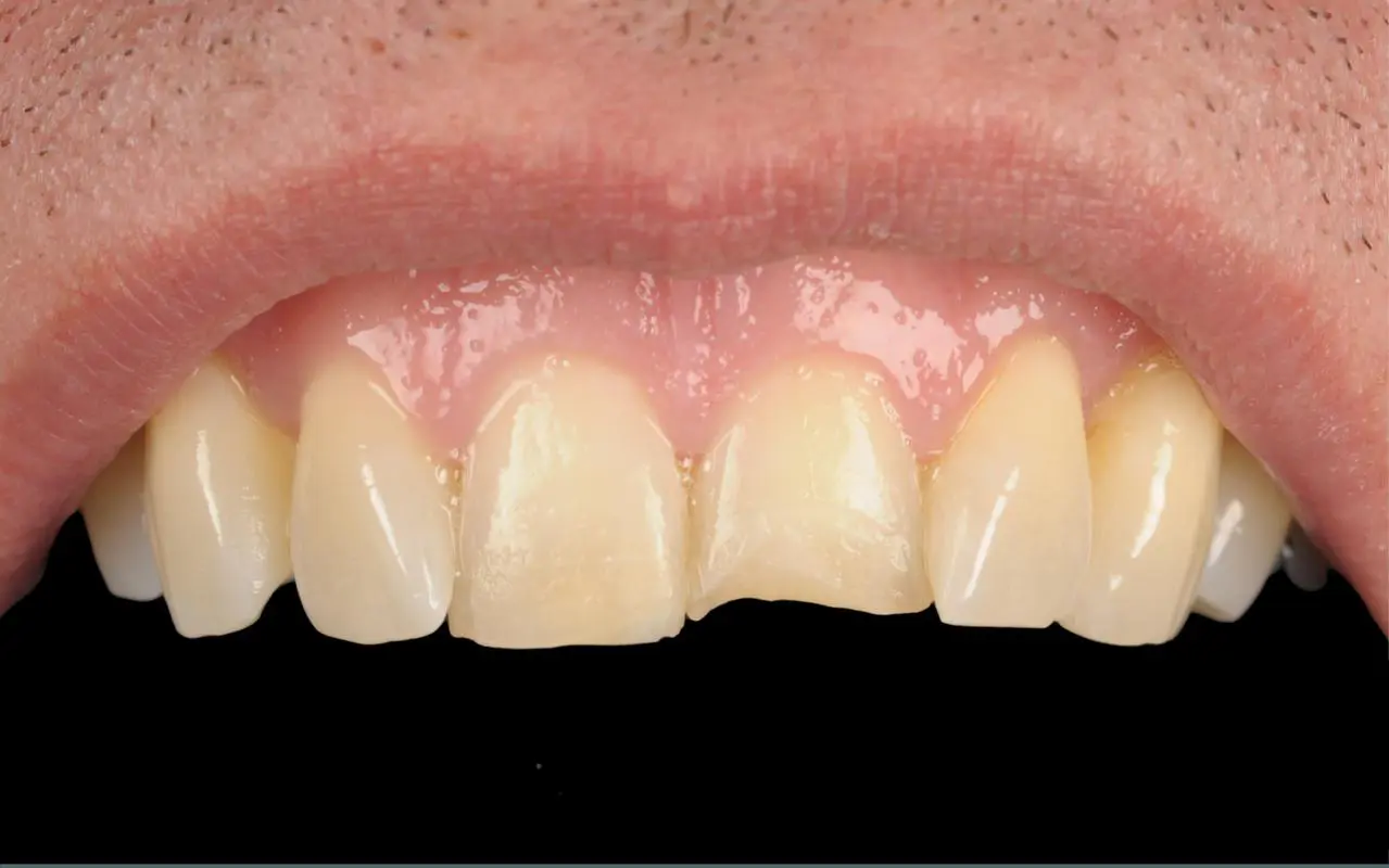
Before
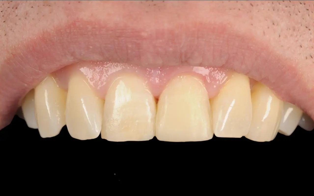
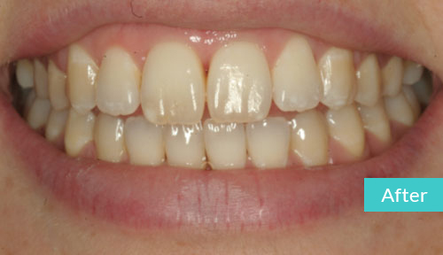
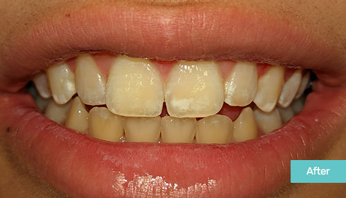
AfterEmergency Chipped Tooth Repair
A patient attended our clinic for an emergency appointment after chipping her upper left front tooth. The chip significantly affected the appearance of her smile.
“So pleased she returned for matching bonding on the other tooth”













































