
Dental Crowns
London
Restore, strengthen and protect damaged teeth with precision-crafted, metal-free dental crowns. Zirconia, porcelain and layered porcelain options — all individually made to match your natural teeth. Available at our South Kensington and City of London clinics.
Dental Crown
From £995
New Patient Exam
Just £30
Restorative Dentistry
What Is a Dental Crown?
A dental crown — sometimes called a cap — is a custom-made restoration that covers the entire visible part of a tooth above the gum line. It restores the tooth's original shape, size, strength and appearance, allowing it to function and look like a natural tooth again.
Crowns are one of the most common and reliable treatments in dentistry. They are used to protect teeth weakened by decay, fracture, root canal treatment or large fillings, and to improve the appearance of discoloured, misshapen or worn teeth. A crown can also be placed on top of a dental implant to replace a missing tooth.
At Dental Clinic London, all our crowns are 100% metal-free and crafted from advanced dental ceramics — zirconia, lithium disilicate (E.max) or layered porcelain (porcelain-fused-to-zirconia). Each crown is individually made in a specialist dental laboratory to match the colour, shape and translucency of your natural teeth. Crowns start from £995.
Common Indications
When You Might Need a Crown
Your dentist may recommend a crown in any of these situations. In every case, the goal is to save and strengthen your natural tooth.
After Root Canal Treatment
A root canal-treated tooth no longer has a blood supply, making it more brittle. A crown encases and strengthens the tooth, preventing fracture during biting and chewing. This is the most common reason for placing a crown.
Broken or Fractured Tooth
A tooth that has cracked, split or lost a large portion of its structure may be too weak for a filling. A crown covers the entire visible tooth, restoring its original shape, strength and function.
Large Filling Replacement
When an old, large filling fails or the remaining tooth structure around it is weakened, a crown provides a stronger, longer-lasting restoration than replacing the filling alone.
Severely Decayed Tooth
If decay has destroyed a significant amount of the tooth, a crown can restore it fully — provided the root and bone are healthy. This avoids the need for extraction.
Cosmetic Improvement
Crowns can dramatically improve the appearance of discoloured, misshapen, worn or poorly aligned teeth. A single crown on a front tooth can transform your entire smile.
On Top of a Dental Implant
A crown is the visible part of a dental implant — the tooth-shaped restoration that attaches to the implant post. Implant crowns are custom-made to match your natural teeth perfectly.
Your Options
Crown Types Compared
We offer three types of all-ceramic, metal-free crowns. Your dentist will recommend the best option based on the tooth's position, function and your aesthetic goals.
Maximum Strength
Zirconia Crown
Zirconia crowns are milled from a single block of zirconium dioxide using CAD/CAM technology. They are the strongest type of dental crown available — virtually unbreakable under normal biting forces. Modern multilayer zirconia can also achieve very good aesthetics, making it a versatile choice for both front and back teeth. Zirconia is 100% metal-free and highly biocompatible.
Advantages
- Strongest crown material available
- Virtually unbreakable under normal forces
- 100% metal-free and biocompatible
- Excellent for back teeth (premolars & molars)
- Stain-resistant and highly durable
- Modern multilayer zirconia has improved aesthetics
Considerations
- Slightly less translucent than lithium disilicate
- Traditional monolithic zirconia looks more opaque
- Cannot be easily adjusted or repaired chair-side
Best For
Premolars, molars, patients who grind or clench, bridges, implant crowns
Expected Lifespan
15–25+ years
Most Natural Appearance
Porcelain Crown (E.max)
Lithium disilicate (IPS e.max) crowns are pressed or milled from a high-strength glass-ceramic. They offer the most natural translucency of any crown material — closely replicating the way natural enamel transmits and reflects light. E.max crowns are the gold standard for front teeth where aesthetics are the top priority, while still being strong enough for premolars.
Advantages
- Best translucency — closest to natural enamel
- Individually shade-matched for a seamless blend
- Excellent for front teeth and smile zone
- Strong enough for premolars
- Metal-free and biocompatible
- Smooth surface resists plaque build-up
Considerations
- Not recommended for heavy grinders on back teeth
- Slightly less fracture-resistant than zirconia
- May not be suitable for long-span bridges
Best For
Front teeth (incisors & canines), premolars, smile makeovers, cosmetic cases
Expected Lifespan
10–20 years
Strength + Aesthetics Combined
Layered Porcelain Crown (PFZ)
Porcelain-fused-to-zirconia (PFZ) crowns combine the best of both worlds: a high-strength zirconia core for durability, with hand-layered feldspathic porcelain on the outer surface for lifelike aesthetics. A skilled ceramist individually layers multiple shades of porcelain to replicate the depth, translucency and subtle colour variations found in natural teeth. This makes PFZ crowns the premium choice when both strength and beauty are essential.
Advantages
- Zirconia core for exceptional strength
- Hand-layered porcelain for lifelike aesthetics
- Individually crafted by a specialist ceramist
- Excellent for front teeth requiring both strength & beauty
- Metal-free — no dark lines at the gum margin
- Premium result for smile makeovers
Considerations
- Higher cost due to ceramist hand-layering
- Porcelain layer can chip under extreme force
- Requires a highly skilled dental laboratory
Best For
Front teeth where ultimate aesthetics and strength are both needed, cosmetic cases, replacing old PFM crowns
Expected Lifespan
15–25 years
Understanding Your Options
Crown vs Veneer vs Filling
Different restorations serve different purposes. Here is how they compare.
| Feature | Crown | Veneer | Filling |
|---|---|---|---|
| Coverage | Entire tooth (360°) | Front surface only | Cavity only |
| Primary Purpose | Restore strength & shape | Cosmetic improvement | Repair decay |
| Tooth Preparation | 1.5–2 mm all around | 0.3–0.5 mm front only | Decay removal only |
| Strength Restored | Full structural support | Minimal reinforcement | Moderate |
| Lifespan | 15–25+ years | 10–25 years | 5–15 years |
| Starting Price | From £995 | From £595 (composite) | From £185 |
| Appointments | 2 (1–2 weeks apart) | 1–2 | 1 |
| Best For | Weakened, broken, RCT teeth | Cosmetic front-tooth changes | Small to medium cavities |
Your dentist will always recommend the most conservative option that achieves the desired result. A detailed consultation is required to determine which restoration is most appropriate for your tooth.
Benefits
Why Choose a Dental Crown?
A well-made dental crown is one of the most durable, versatile and natural-looking restorations in modern dentistry.
Restore Full Strength
A crown encases and reinforces a weakened, broken or root canal-treated tooth, restoring it to full chewing function. The tooth can bear normal biting forces for decades.
Natural Appearance
Modern all-ceramic crowns replicate the translucency, colour and surface texture of natural enamel. A well-made crown is virtually indistinguishable from a real tooth.
100% Metal-Free
All our crowns are made from biocompatible dental ceramics — no metal substructures, no dark lines at the gum margin, no allergic reactions. Modern dentistry at its best.
Protect Against Fracture
A tooth weakened by decay, a large filling or root canal treatment is at risk of splitting. A crown prevents this, potentially saving you from extraction and an implant.
Long-Lasting
Dental crowns are one of the most durable restorations in dentistry. Zirconia and PFZ crowns routinely last 15–25+ years with proper care.
Preserve Your Natural Tooth
A crown allows you to keep your natural root and tooth structure. Nothing functions as well as your own tooth — a crown extends its life by many years.
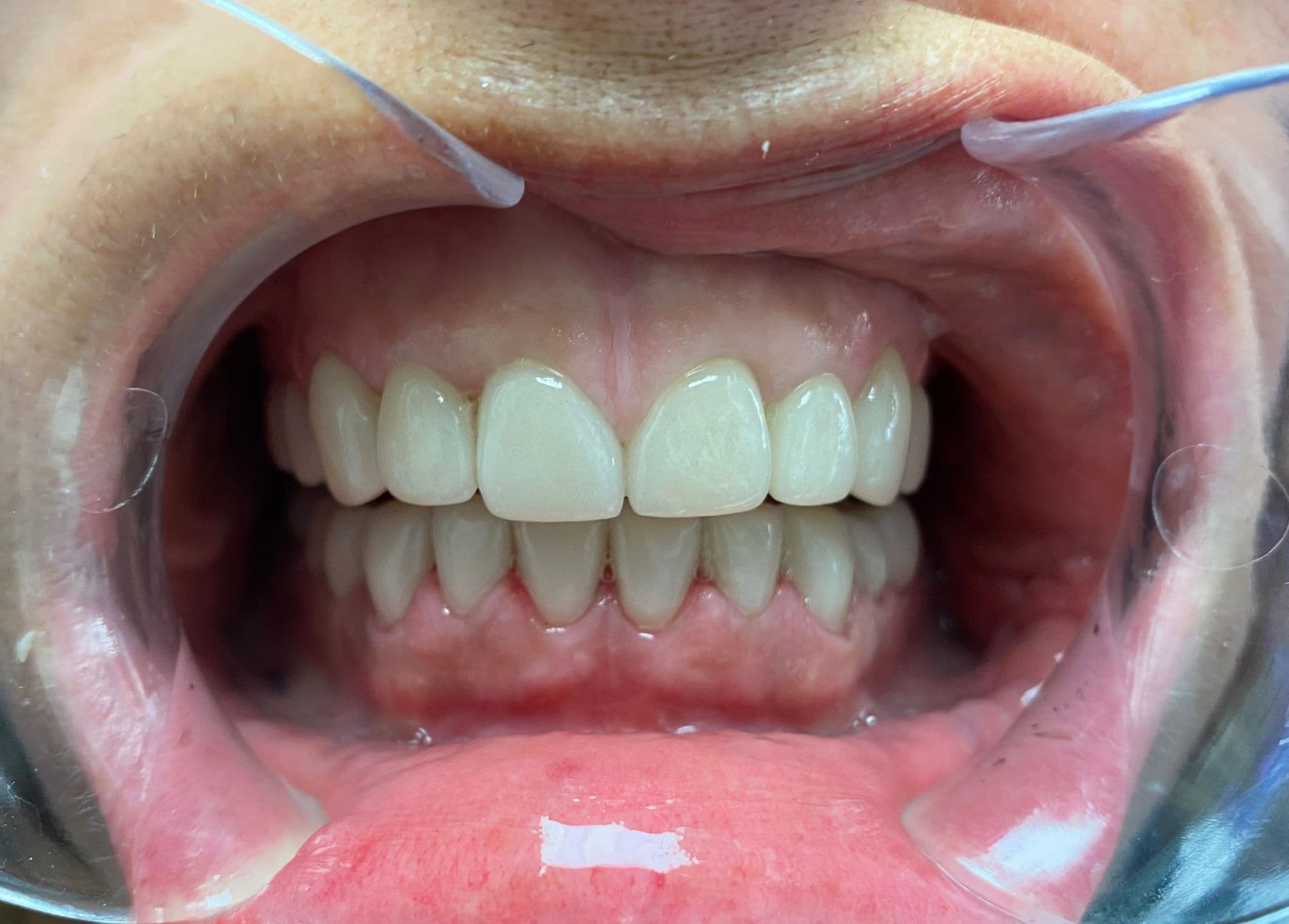
Real Patient Results
Crown Before & After
Real results from our patients. Every case is unique — your dentist will discuss what results you can expect based on your specific situation.


Full Smile Rejuvenation — Veneers & Crowns
Old veneers and crowns placed over 20 years ago replaced with new porcelain restorations for a softer, more natural and feminine smile.
Treated by Dr. Yasha Shirazi


Long-Lasting Porcelain Restorations
Chipped front teeth previously repaired with composite bonding that repeatedly fractured. Replaced with porcelain crowns and veneers — 11 years later, still perfect.
Treated by Dr. Yasha Shirazi


Full Smile Transformation
Gaps, failed bonding and darker shades replaced with a combination of porcelain crowns and veneers for a complete, confident smile.
Treated by Dr. Yasha Shirazi
These are real patient results from Dental Clinic London. Individual results may vary. Before-and-after images are shown with patient consent and are not a guarantee of outcome. A detailed consultation is required to determine suitability.
Your Crown Journey
How a Crown Is Placed
From consultation to final fitting — here is what happens at each stage.
Consultation & Assessment
Your dentist examines the tooth, takes X-rays and discusses your options. For purely cosmetic crown enquiries, a free 15-minute short consultation is available. If you decide to proceed, a new patient examination (£30) provides a full clinical assessment and personalised treatment plan with confirmed costs. Your dentist will recommend the best type of crown for your specific tooth and goals.
Crown Type & Shade Selection
Together with your dentist, you choose the crown material — zirconia for maximum strength, lithium disilicate (E.max) for the most natural look, or layered porcelain (PFZ) for the premium combination. A shade guide is used to select the exact colour that blends seamlessly with your surrounding teeth, or you can choose a brighter shade if you prefer.
Tooth Preparation
The tooth is carefully shaped under local anaesthetic — typically 1.5–2 mm of tooth structure is removed all the way around to create space for the crown. This is painless. If the tooth is badly broken down, a core build-up may be placed first to provide a solid foundation for the crown.
Impressions & Temporary Crown
Detailed digital or physical impressions of your prepared tooth are sent to our specialist dental laboratory. A temporary crown is fitted to protect your tooth and maintain your appearance while the permanent crown is being hand-crafted — this typically takes 1–2 weeks.
Crown Fitting
Your permanent crown is tried in for fit, colour and bite. Once you and your dentist are completely happy, it is cemented in place using a strong dental adhesive. The crown is checked from every angle to ensure it looks and feels completely natural.
Polish, Bite Check & Aftercare
The crown is polished to a smooth finish, your bite is carefully checked and any final micro-adjustments are made. Your dentist provides detailed aftercare instructions. With good oral hygiene and regular check-ups, your crown will last for many years.
See Our Clinic
What to Expect at Your Visit
Patient Success Story
Saving £3,750 on Zirconia Teeth
Saving £3,750 on Zirconia Teeth
Dental Clinic London · Patient Success Story
Two Convenient Locations
Dental Crowns Near You
South Kensington
Now Open20 Old Brompton Road, South Kensington, London SW7 3DL
Mon & Wed: 9 am – 6 pm
Tue & Thu: 9 am – 8 pm
Fri: 9 am – 5 pm
Sat & Sun: 10 am – 4 pm
1 min from South Kensington tube (District, Circle & Piccadilly)
City of London
Opening May 20265 Ave Maria Lane, City of London, London EC4M 7AQ
Mon – Fri: 8 am – 8 pm
Sat & Sun: Closed
3 min from St Paul's tube (Central line) · 5 min from Blackfriars
Transparent Pricing
Crown Prices
Clear, upfront pricing with no hidden fees. Your dentist will always provide a written treatment plan with exact costs before any work begins.
| Treatment | Price |
|---|---|
| New Patient ConsultationFull examination, X-rays & treatment plan | £30 |
| Free Short Consultation (15 min)Quick chat about cosmetic crown options — no obligation | FREE |
| Zirconia CrownStrongest option — ideal for back teeth & bruxism | From £995 |
| Porcelain Crown (Lithium Disilicate / E.max)Most natural translucency — ideal for front teeth | From £995 |
| Layered Porcelain Crown (Porcelain-Fused-to-Zirconia)Zirconia strength + hand-layered porcelain aesthetics | From £1,195 |
| Crown on ImplantSee Dental Implants page (from £2,950 total) | Included in implant price |
| Temporary CrownProvided while your permanent crown is being crafted | Included |
| X-Ray (Periapical)Focused image of individual teeth | £20 |
Prices are a guide and may vary depending on clinical complexity. 0% finance available on selected treatments, subject to status. A detailed treatment plan with confirmed costs is provided before any treatment begins.
Long-Lasting Results
Caring for Your Crown
Follow these simple guidelines to maximise the lifespan of your dental crown.
Brush Twice Daily
Use a soft-bristled or electric toothbrush and fluoride toothpaste. Pay particular attention to the margin where the crown meets the natural tooth — this is where plaque can accumulate.
Floss Daily
Floss around the crown daily to remove plaque and food debris from between teeth. This prevents decay at the crown margin and keeps your gums healthy. Interdental brushes are also effective.
Avoid Biting Very Hard Objects
Dental crowns are extremely strong, but avoid biting directly on ice, hard sweets, pen caps or using your teeth as tools. This applies to natural teeth as well.
Wear a Night Guard if You Grind
Teeth grinding (bruxism) places excessive force on crowns and can cause chipping — particularly layered porcelain crowns. A custom night guard protects your investment while you sleep.
Attend Regular Check-ups
Visit your dentist every 6 months for routine check-ups and professional hygiene. Your dentist will check the crown for any wear, margin integrity or gum recession.
Report Any Changes
If the crown feels loose, your bite feels different, or you experience sensitivity, contact your dentist promptly. Early intervention can prevent more complex problems.
Common Questions
Dental Crown FAQ
Experienced Dentists
Your Dental Team
All our dentists are GDC registered and experienced in restorative and cosmetic dentistry, including all types of dental crowns. They will guide you through every step and ensure your result meets your expectations.

Dr. Yasha Y Shirazi
Principal Dentist & Clinical Director
GDC: 195843

Dr. Reza Davari
Dentist
GDC: 302422

Dr. Kamran Yazdi
Dentist
GDC: 197926

Dr. Andreia Phipps
Dentist
GDC: 229601
Patient Reviews
What Our Patients Say
Explore More
Related Treatments
Registered · Regulated · Trusted
Your Safety Is Our Priority
Our South Kensington clinic is regulated by the Care Quality Commission (CQC) and all our clinicians are registered with the General Dental Council (GDC).
CQC Regulated
South Kensington clinic
GDC Registered
All clinicians
CQC Provider: Medical and Dental Limited · Registration No. 1-20629579981
Need a Dental Crown?
Book a new patient consultation for just £30 — or a free 15-minute short consultation for cosmetic enquiries. Your dentist will assess the tooth, explain your options and provide a detailed treatment plan with confirmed costs.


