
Smile Makeover
London
Transform your smile with a bespoke combination of veneers, bonding, whitening, implants and more — designed around your goals, your face and your budget. Every smile makeover starts with a comprehensive cosmetic consultation.
Smile Makeovers
From £395
Consultation
FREE
Your Dream Smile, Designed for You
What Is a Smile Makeover?
A smile makeover is a personalised combination of cosmetic dental treatments designed to transform the appearance of your smile. Unlike a single treatment, a smile makeover considers your entire smile — the colour, shape, size, alignment and proportion of every visible tooth — along with your gum line, lip line and facial features.
Your smile makeover may include any combination of teeth whitening, composite bonding, porcelain veneers, composite veneers, dental implants, gum contouring and orthodontics — selected and sequenced to deliver the best possible result for you. Every plan is bespoke.
At Dental Clinic London, smile makeovers start from as little as £395 for composite bonding treatments, through to full porcelain veneer makeovers. Every journey begins with a free 15-minute short consultation where you can meet a cosmetic dentist, discuss your goals and find out what is possible — with no cost and no obligation.
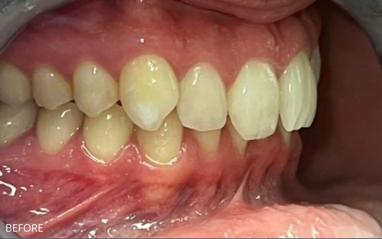
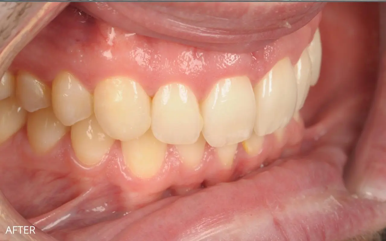
Real Patient Transformations
Smile Makeover Before & After
Real smile makeover results from our patients — every case treated at Dental Clinic London by our GDC-registered cosmetic dentists.


Beautiful Smile with Whitening & Veneers
A young woman in her 20s who had stopped smiling altogether. Teeth whitening followed by porcelain veneers gave her a radiant, natural smile — and tears of joy. A life-changing transformation.
Treated by Dr. Yasha Shirazi


Full Smile Transformation — 20 Porcelain Veneers
Gaps, failed composite bonding and a dark shade. Twenty porcelain veneers delivered a bright, even, natural-looking smile — restoring the confidence she had been missing for years.
Treated by Dr. Yasha Shirazi


Invisible Braces, Bonding & Whitening
A complete multi-phase smile makeover — invisible braces to correct alignment, composite bonding to perfect the shape, and professional whitening for a bright, unified finish.
Treated by Dr. Kamran Yazdi


Full Veneer Smile Makeover
A complete smile makeover with full porcelain veneers — delivering a uniform, bright and natural result across the entire smile zone.
Treated by Dr. Kamran Yazdi
These are real patient results from Dental Clinic London. Individual results may vary. Before-and-after images are shown with patient consent and are not a guarantee of outcome. A detailed consultation is required to determine suitability.
Why DCL?
Why Choose Dental Clinic London
Bespoke Treatment Plan
No two smile makeovers are the same. Your dentist designs a plan tailored entirely to your goals, face shape, skin tone and budget — combining the right treatments in the right sequence for the best possible result.
Multiple Treatments, One Team
Whitening, bonding, veneers, implants, gum contouring, orthodontics — everything under one roof. Your cosmetic dentist coordinates the entire journey, so every treatment works together seamlessly.
See Your Smile Before You Commit
For porcelain veneers, wax-ups and digital smile design let you preview your new smile. For composite work, your dentist discusses every detail. You are never committed until you are happy with the plan.
Same-Day Options Available
Composite bonding and composite veneers can transform your smile in a single visit — no waiting for a laboratory. Ideal for patients who want immediate results.
Finance Available
Spread the cost with 0% finance on selected treatments, subject to status. Your treatment coordinator discusses all payment options, so cost does not have to be a barrier to the smile you want.
CQC Regulated & GDC Registered
Our South Kensington clinic is regulated by the Care Quality Commission (CQC) and all our dentists are registered with the General Dental Council (GDC). Your safety and wellbeing are always the priority.
Your Options
Smile Makeover Options
Every smile makeover is different. Here are the main approaches — your dentist will recommend the best combination for you.
Porcelain Veneer Smile Makeover
Most PopularThe gold standard. Lab-crafted porcelain shells are bonded to the front of your teeth to completely transform their shape, colour, size and alignment. Stain-resistant, durable (15–25 years) and indistinguishable from natural teeth. Ideal for full smile transformations.
From £1,095/tooth
Composite Bonding Makeover
Same DayTooth-coloured composite resin is sculpted directly onto your teeth in a single visit — no drilling, no waiting. Perfect for chips, gaps, worn edges and minor reshaping. More affordable than porcelain and easily repaired. Results last 5–10 years.
From £395/tooth
Composite Veneer Makeover
Same DayFull-coverage composite veneers hand-sculpted directly onto each tooth in one appointment. More comprehensive than bonding — ideal for changing the colour, shape or alignment of multiple teeth. A great middle ground between bonding and porcelain.
From £595/tooth
Combination Makeover
TailoredMany of the best smile makeovers combine treatments — whitening for a brighter base, bonding for minor fixes, veneers for the smile zone, implants for missing teeth, gum contouring for symmetry. Your dentist designs a bespoke plan tailored to your goals and budget.
Bespoke
Your Journey
How a Smile Makeover Works
From your first consultation to your final smile — here is what to expect.
Free Short Consultation (15 min)
A complimentary 15-minute appointment with a cosmetic dentist. Discuss your goals, ask questions and find out what treatments may be suitable — with no cost and no obligation. If you decide to proceed, a new patient examination (£30) provides a full clinical assessment and personalised treatment plan with confirmed costs.
Smile Design & Planning
Your dentist designs your new smile — tooth shape, shade, proportions and symmetry — using photographs, models and clinical expertise. If porcelain veneers are involved, digital or wax-up previews allow you to see and approve your new smile before any treatment begins.
Foundation Treatments (If Needed)
If your smile makeover involves whitening, orthodontics, gum contouring or hygiene treatment, these foundation steps are completed first. Whitening brightens your base shade. Braces align your teeth. Gum contouring balances proportions. Everything is planned so treatments work together.
Restorative & Cosmetic Work
The main transformation — veneers, bonding, implants or crowns are placed. Composite bonding and composite veneers are completed same-day. Porcelain veneers require two visits (preparation + fit). Every detail is checked against your approved smile design.
Final Review & Polish
A dedicated review appointment to check the fit, bite, colour and symmetry. Fine adjustments are made. Everything is polished to a high sheen. You see your new smile for the first time — and take it home.
Aftercare & Maintenance
We provide a detailed aftercare plan. Regular hygiene visits and check-ups keep your smile looking its best for years. If bonding is involved, periodic polishing refreshes the lustre. Night guards are recommended for patients who grind.
See Our Clinic
What to Expect at Your Visit
Patient Success Story
Saving £3,750 on Zirconia Teeth
Saving £3,750 on Zirconia Teeth
Dental Clinic London · Patient Success Story
Two Convenient Locations
Smile Makeovers Near You
South Kensington
Now Open20 Old Brompton Road, South Kensington, London SW7 3DL
Mon & Wed: 9 am – 6 pm
Tue & Thu: 9 am – 8 pm
Fri: 9 am – 5 pm
Sat & Sun: 10 am – 4 pm
1 min from South Kensington tube (District, Circle & Piccadilly)
City of London
Opening May 20265 Ave Maria Lane, City of London, London EC4M 7AQ
Mon – Fri: 8 am – 8 pm
Sat & Sun: Closed
3 min from St Paul's tube (Central line) · 5 min from Blackfriars
Transparent Pricing
Smile Makeover Prices
Clear, upfront pricing with no hidden fees. A written treatment plan with exact costs is always provided before any work begins.
| Treatment | Price |
|---|---|
| Free Short Cosmetic Consultation (15 min)Quick chat with a cosmetic dentist to discuss your smile goals — no cost, no obligation | FREE |
| Teeth Whitening (Home Kit)Was £399 — Limited Offer. Custom trays + professional gel for a brighter base | £199 |
| Composite Bonding (per tooth)Same-day chip repair, gap closure or edge refinement | From £395 |
| Composite Veneer (per tooth)Full-coverage composite veneer — sculpted same day | From £595 |
| Porcelain Veneer (per tooth)Lab-crafted for maximum durability and stain resistance | From £1,095 |
| Smile Makeover — 4 Porcelain VeneersTransform your front four teeth with handcrafted porcelain | From £4,380 |
| Smile Makeover — 6 Porcelain VeneersFull smile zone — the most popular smile makeover | From £6,570 |
| Smile Makeover — 8–10 Porcelain VeneersComplete upper arch — price based on 8 units | From £8,760 |
| Full Arch — 10–12 Porcelain VeneersUpper and visible lower teeth — price based on 10 units | From £10,950 |
| Dental Implants (inc. crown)Replace missing teeth as part of your smile makeover | From £2,950 |
| Gum Contouring (per tooth)Reshape the gum line for balanced, symmetrical proportions | From £200 |
Prices are a guide and may vary depending on clinical complexity. 0% finance available on selected treatments, subject to status. A detailed treatment plan with confirmed costs is provided before any treatment begins.
Common Questions
Smile Makeover FAQ
Experienced Cosmetic Dentists
Your Smile Makeover Team
Every smile makeover at Dental Clinic London is designed and delivered by GDC-registered cosmetic dentists with extensive experience in smile design.

Dr. Yasha Y Shirazi
Principal Dentist & Clinical Director
GDC: 195843

Dr. Reza Davari
Dentist
GDC: 302422

Dr. Kamran Yazdi
Dentist
GDC: 197926

Dr. Andreia Phipps
Dentist
GDC: 229601
Patient Reviews
What Our Patients Say
Explore More
Individual Treatments
Your smile makeover may include any of these treatments — learn more about each one.
Registered · Regulated · Trusted
Your Safety Is Our Priority
Our South Kensington clinic is regulated by the Care Quality Commission (CQC) and all our clinicians are registered with the General Dental Council (GDC).
CQC Regulated
South Kensington clinic
GDC Registered
All clinicians
CQC Provider: Medical and Dental Limited · Registration No. 1-20629579981
Ready for Your Smile Makeover?
Book a free 15-minute short consultation to discover what is possible. Meet a cosmetic dentist, discuss your goals and find out how we can transform your smile — no cost, no obligation.


